Please confirm that you would like to log out of Medscape.
If you log out, you will be required to enter your username and password the next time you visit.
Log outCancel
European Association of Urology (EAU) 2023 Annual Meeting
March 10 - 13, 2023; Milan, Italy and Virtual/Online
March 10 - 13, 2023Milan, Italy and Virtual/Online
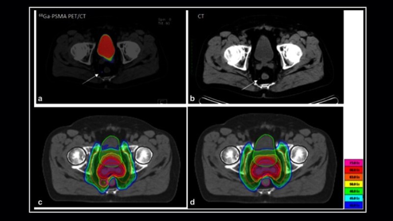
EAU 2023Digital Rectal Exam Fails as Prostate Cancer Screening ToolA large study from Germany found that digital rectal examination had low detection rates compared with prostate-specific antigen testing in men in their mid-to-late 40s.
Medscape Medical News, March 14, 2023
EAU 2023'Very Good News' About Localized Prostate Cancer: ProtecT ResultsMen with newly diagnosed non-metastatic prostate cancer who were randomly assigned to surgery, radiation, or active monitoring had similar overall and prostate cancer-specific survival rates after 15 years.
Prescriptions for OAB Often Fail to StickOnly 9% of patients in a large database continued taking their first prescription for overactive bladder (OAB) after 1 year.
BCG Vaccine Benefit in Non–Muscle Invasive Bladder Cancer?Among patients with very high-risk but not high-risk disease, bacillus Calmette-Guérin more effectively delayed time to progression
compared with transurethral resection of the bladder.