Basal Cell Carcinoma Arising From a Nonhealing Lower Extremity Ulcer

A Case Report

Sidra Deen, BS; Usman Asad, MD; Edward Lee Poythress, MD

Disclosures

Wounds. 2023;35(4):E126-E128. 

In This Article

Abstract and Introduction

Abstract

Introduction: BCC is a malignancy that arises from the basal cells of the epidermis. Despite being the most common cancer worldwide, it rarely occurs in the setting of long-standing ulceration. Malignant transformation of wounds and scars is typically associated with the development of SCC, as with an MU. Reports in the literature of BCC arising within nonhealing, lower extremity wounds are limited.

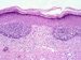
Case Report: The authors report a case of a 65-year-old man with several comorbidities who presented to the clinic with a nonhealing wound on the right lateral ankle. The wound first began as warts during childhood that had necessitated frequent debridement. The lesions persisted and, 7 years ago, developed into an ulcer with a large fungating mass associated with pain, bleeding, and foul-smelling exudate. Biopsy findings were consistent with infiltrative-type BCC. He was not a surgical candidate given his comorbidities and was instead treated with radiation therapy. No evidence of metastasis was seen on follow-up imaging.

Conclusion: This case highlights the importance of prompt biopsy and cultures in patients with suspicious ulcers and wounds that do not respond to appropriate treatment.

Introduction

BCC is a malignancy that arises from the basal cells of the epidermis. It is the most common cancer worldwide, with an incidence of more than 2 million individuals each year in the United States alone.[1] The greatest risk factor for developing BCC is exposure to ultraviolet radiation; therefore, sun-exposed areas, particularly of the head and neck, are the most common locations. Despite its prevalence, it rarely arises in the setting of long-standing ulceration.[2–6] In this report, the authors present a case of a 65-year-old man found to have a BCC developing in a lower extremity ulcer.

processing....